Moin,
am 28.06.2025 hatte ich einen Verkehrsunfall.
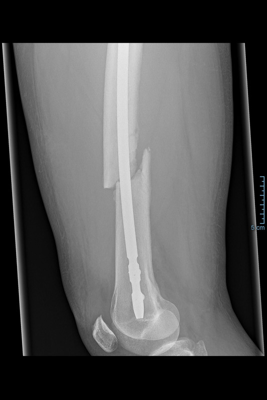
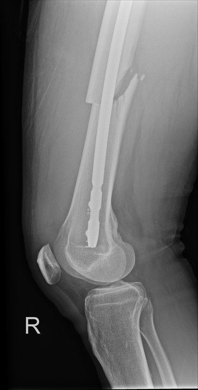
Der Oberschenkelknochen war gebrochen.
In einer "Not"-OP (KH Zams/Tirol) wurde ein Nagel mit 3 Schrauben eingebracht, um den Bruch zu stabilisieren.
Leider sitzen die Knochenenden nicht regelrecht aufeinander.
Am 30.10.2025 ist die nächste Röntgen-Kontrolle. Bisher wurde der Knochen mind. 4x geröngt. Das Knie hatte eine unauffällige MRT.
Mein Orthopäde empfahl mich beim Unfall-Chirurgen untersuchen zu lassen.
Der empfahl, dass die Schrauben und der Nagel wieder raus sollen, der Knochen von innen weiter aufgefräst wird, um einen dicker Nagel (14mm) einzubringen.
Derzeit ist ein 11mm Nagel drin. Gleichzeitig soll die "wenig" gebildende Knochenmasse wieder rausgenommen werden (zusätzlicher, seitlicher Schnitt).
Somit bin ich anschließend wieder bei Null.
In der Hoffnung, dass die dann besser aufeinander sitzenden Knochenenden besser zusammen wachsen.
Die Bruch teilt sich auf: 2/3tel oben, 1/3tel unten.
Die Bruchstelle soll wohl auch deshalb schlecht heilen, weil
a.) der Spalt zu groß ist und
b.) der Knochen an dieser Stelle schlecht durchblutet ist und somit wenig Knochenheilung (Kallus) stattfinden kann.
Alternativ werden die beiden knienahen Verriegelungsschrauben entfernt und von vorne eine Schraube in das dort befindliche Langloch verschraubt, um mehr Bewegung/Kompression/Mobilisierung zu erzeugen.
Ich bin mir unssicher, was ich machen soll. Habe auch Angst vor der großen OP.
Ende 10.2025 sind dann 4 Monate auf Gehstützen um.
Alle Röntgenaufnahmen und Berichte liegen mir vor.
Was meint ihr?
am 28.06.2025 hatte ich einen Verkehrsunfall.
Der Oberschenkelknochen war gebrochen.
In einer "Not"-OP (KH Zams/Tirol) wurde ein Nagel mit 3 Schrauben eingebracht, um den Bruch zu stabilisieren.
Leider sitzen die Knochenenden nicht regelrecht aufeinander.
Am 30.10.2025 ist die nächste Röntgen-Kontrolle. Bisher wurde der Knochen mind. 4x geröngt. Das Knie hatte eine unauffällige MRT.
Mein Orthopäde empfahl mich beim Unfall-Chirurgen untersuchen zu lassen.
Der empfahl, dass die Schrauben und der Nagel wieder raus sollen, der Knochen von innen weiter aufgefräst wird, um einen dicker Nagel (14mm) einzubringen.
Derzeit ist ein 11mm Nagel drin. Gleichzeitig soll die "wenig" gebildende Knochenmasse wieder rausgenommen werden (zusätzlicher, seitlicher Schnitt).
Somit bin ich anschließend wieder bei Null.
In der Hoffnung, dass die dann besser aufeinander sitzenden Knochenenden besser zusammen wachsen.
Die Bruch teilt sich auf: 2/3tel oben, 1/3tel unten.
Die Bruchstelle soll wohl auch deshalb schlecht heilen, weil
a.) der Spalt zu groß ist und
b.) der Knochen an dieser Stelle schlecht durchblutet ist und somit wenig Knochenheilung (Kallus) stattfinden kann.
Alternativ werden die beiden knienahen Verriegelungsschrauben entfernt und von vorne eine Schraube in das dort befindliche Langloch verschraubt, um mehr Bewegung/Kompression/Mobilisierung zu erzeugen.
Ich bin mir unssicher, was ich machen soll. Habe auch Angst vor der großen OP.
Ende 10.2025 sind dann 4 Monate auf Gehstützen um.
Alle Röntgenaufnahmen und Berichte liegen mir vor.
Was meint ihr?

